EZ EZViwe

뷰노, 흉부 영상 진단 보조 AI 비급여 청구 본격 시작…"혁신의료기술 가치 입증"

'뷰노 메드 체스트 엑스레이' 오는 6월 1일부터 향후 3년간 임상 현장 사용 가능

박기훈 기자 기자  2025.05.15 10:54:14

기사프린트


[프라임경제] 인공지능(AI) 기업 뷰노(338220)는 AI 기반 흉부 엑스레이(X-ray) 판독 및 소견 검출 의료기기 '뷰노 메드 체스트 엑스레이(VUNO Med®-Chest X-ray™, 이하 체스트 엑스레이)가 지난 1월 혁신의료기기 통합심사·평가에서 승인을 받은데 이어, 이달 보건복지부의 혁신의료기술 관련 고시가 확정됨에 따라오는 6월1일부터 비급여 시장 진입이 가능해졌다고 15일 밝혔다.

뷰노의 '체스트 엑스레이'는 안전성과 진료 현장에서의 잠재적 유용성을 인정받은 의료 AI 솔루션으로, 이번 고시에 따라 2025년 6월 1일부터 2028년 5월 31일까지 3년간 임상 현장에서 사용이 가능해졌다. 

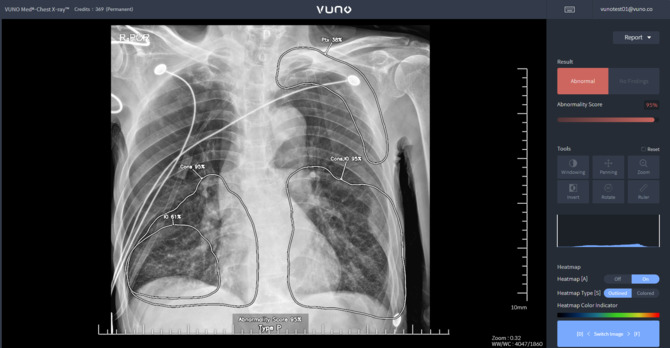
해당 제품은 흉부 엑스레이 영상을 분석해 △결절 △경화 △간질성 음영 △흉막 삼출 △기흉 등 5개의 이상 소견 유무를 검출하고, 소견 조합을 통해 △폐렴 △폐결핵 등 2개 질환을 선별하는 진단 보조 소프트웨어이다.

의료기관은 한국보건의료연구원(NECA)에 신고 및 접수를 통해 '체스트 엑스레이'의 실시기관이 될 수 있으며, 실시 의료기관에 근무 중인 의사라면 누구나 신고 후 '체스트 엑스레이' 비급여 청구가 가능하다. 

즉 흉부방사선 촬영 이후 '체스트 엑스레이'를 사용함으로써 흉부 촬영 및 인공지능 분석에 대한 각각의 수가 청구가 가능하다.

혁신의료기기 통합심사·평가는 보건복지부와 식품의약품안전처 주관으로 인공지능(AI)·빅데이터 기술, 디지털·웨어러블 기술을 활용한 혁신의료기기가 의료현장에서 신속하게 사용될 수 있도록 하는 제도이다. 

실제 의료현장에서 활용되며 임상 근거를 축적함으로써 새로운 의료기술의 가치를 입증하고, 질병의 진단·치료 방법이 확대되어 환자의 편익 증진에 기여하는 것을 목표로 한다.

이예하 뷰노 대표는 "이번 고시를 통해 '체스트 엑스레이'가 의료현장에서 실제로 활용되며 더 많은 환자들이 폐, 심장 관련 질환을 조기에 정확하게 진단받을 수 있게 되기를 기대한다"며 "실사용 데이터를 기반으로 향후 신의료기술평가 통과 및 건강보험 수가 진입을 위한 근거 마련에 최선을 다하겠다"고 말했다.