EZ EZViwe

제이엘케이, 두개내출혈 검출 솔루션 美 FDA 획득…최고 수준 인허가 역량 입증

"뇌출혈 필수 솔루션 JLK-ICH 신년 들어 첫 승인…보완 없이 단번에 승인 고무적"

박기훈 기자 기자  2025.01.06 09:16:53

기사프린트


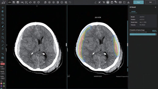
[프라임경제] 의료 AI 1호 상장기업 제이엘케이(322510)는 지난해 미국 식품의약국(FDA) 인허가를 신청했던 두개내출혈 검출 솔루션 'JLK-ICH'가 보완사항 없이 승인(FDA 510(k))을 완료했다고 6일 밝혔다.

지난해 이미 한 해동안 전립선암 솔루션 1개 획득에 이어 뇌졸중 솔루션에서만 JLK-LVO, JLK-CTP, JLK-PWI 3개 솔루션의 승인을 획득한 제이엘케이는 이번 승인이 전체 5번째 FDA 획득이다. 이로써 뇌졸중 분야에서만 4개 솔루션에 대한 FDA 인허가를 확보하게 됐다.

특히 이번 인허가는 미국 FDA 별도 추가보완 없이 단번에 승인받아 그 의미가 남다르다. 업계에서는 그동안 다수의 해외 인허가 진행으로 포트폴리오를 쌓아왔던 제이엘케이의 자체 인허가 역량이 인정받고 있음을 보여주는 지표라고 평가했다.

JLK-ICH는 제이엘케이가 주력하고 있는 뇌졸중 AI 솔루션으로 환자의 뇌 CT 영상을 분석해 뇌출혈 영역을 검출하는 AI 솔루션이다. 통상 뇌졸중 의심환자가 응급실에 도착하면 가장 먼저 뇌 CT를 촬영해 뇌출혈 여부를 확인하는데 이 과정에서 JLK-ICH가 빈번히 쓰일 것으로 예측된다. 

특히 기존에 획득한 JLK-LVO, JLK-CTP, JLK-PWI와 함께 연동돼 전주기에 걸친 뇌졸중 진단과 치료 결정 활용 시너지는 물론 미국 병원에서의 시장 차별성과 경쟁력이 매우 커질 것으로 기대된다. 

더욱이 혈관이 막히는 뇌경색 대비 중증도가 높은 뇌출혈은 출혈 크기 증가 우려와 재출혈 위험으로 치료까지 걸리는 시간을 단축하는 것이 환자 예후개선에 필수적이다. 

JLK-ICH는 임상연구를 통해 발생 특징이 다른 5가지 뇌출혈 유형에 대해 편차 없는 높은 검출 성능을 입증한 만큼 골든타임 확보에 큰 역할을 할 것으로 기대된다.

이번 FDA 승인으로 매출 확대를 위한 기반도 견고히 다졌다는 평가다. 미국의 연간 CT 촬상 수가 약 8600만 건에 이를 정도로 빈도가 매우 높아 CT 영상을 기반으로 하는 해당 솔루션의 미국 내 시장성이 높을 것으로 기대하고 있다.

제이엘케이 관계자는 "지난해부터 글로벌 선진국 시장 진출을 위하여 공격적인 미국 FDA와 일본 PMDA 인허가 활동들이 빠른 결실을 맺고 있는 만큼 남은 솔루션들에 대한 인허가도 조속히 진행할 예정"이라고 전했다.

제이엘케이는 올해 인허가 신청과 승인 그리고 보험수가 획득에 집중해 해외 매출 확대에 포석을 마련한다는 목표를 세웠다. 미국 FDA의 경우 올해 총 6개의 인허가를 추가로 신청하고 일본 PMDA는 8개 솔루션의 인허가 신청을 마친다는 계획이다. 

아울러 각국 보험수가 진입도 전념해 해외 매출도 발생시킨다는 방침이다. 뇌졸중 종합 플랫폼 메디허브 스트로크(Medihub Stroke)의 각 구성 제품들이 연속적인 FDA 신청과 획득 성공을 통해 전 세계적으로 경쟁력을 인정받고 있으며, AI 의료 플랫폼(AI Medical Platform)의 비즈니스 기반이 형성되고 있기 때문이다. 

제이엘케이는 모든 솔루션 개발에 세계적 표준인 ASA·AHA 가이드라인을 준용해 시간이 지남에 따라 글로벌 가치가 더욱 올라갈 것으로 확신되고 있다. 

김동민 제이엘케이 대표는 "JLK-ICH를 통해 올해 첫 해외 인허가 획득 소식을 전할 수 있어 기쁘다"며 "보완사항 없이 단번에 승인을 마친 이번 FDA 획득으로 제이엘케이가 자체적으로 구축한 인허가 역량의 우수성을 입증한 만큼 남은 인허가와 현지 보험수가 획득에 주력해 성공적인 해외 진출 성과를 가져오는 최선을 다하겠다"고 말했다.